久保内医院
本文へジャンプ
食道の病気

 食道は喉から胃に至る径約2cm、長さ約25cmの筒型の臓器で気管や心臓の後をほぼ真っ直ぐ下降します。
 ①食道②気管③大動脈④右主気管支⑤胃⑥横隔膜⑦左主気管支⑧甲状腺
 これら重要臓器と隣接しているため、病気が進行し波及した場合には致命的になることも多いのが特徴です。手術もこれらの臓器に直接、間接的にダメージを与えるため難易度も高く、術後の体力の回復にも比較的時間がかかります。
 食べ物の通り道である消化管の始まり部分ですが、扁平上皮という粘膜により被覆されています。他の消化管と異なり消化、吸収には関与していません。純粋な通り道といえるでしょう。胃の粘膜は胃酸を分泌するため酸に対して防御されていますが、食道は酸やアルカリに対する防御が弱く、胃酸や胆汁の逆流は食道粘膜を損傷し胸焼けを生じるもとになります。
食道解剖
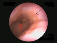
食道裂孔ヘルニア

 胃が横隔膜(図の⑥)を越えて上にずり上がった状態です。元々の胃と食道の境目は横隔膜の少し下にあります。先天性のものと加齢によるもの、肥満等による腹圧上昇によるもの等があります。(→)が境目で、手前のピンク色に見えるところが食道、それより奥が胃になります。()が横隔膜や周囲の筋肉によりできている胃の入り口にあたります。元々ある胃の入り口のシャッター機能が緩んで起こることが多いため、次項の逆流性食道炎を合併する確率が高くなります。
食道裂孔ヘルニア
逆流性食道炎

 酸やアルカリに対し防御力の弱い食道に胃液(強酸)、十二指腸液(アルカリ)が逆流することで食道粘膜が傷害されることです。逆流の原因は、上記のヘルニアが最も多くみられます。慢性的に損傷を受けた食道粘膜が胃粘膜に置換(酸、アルカリに強くなるためでしょうか?)したものが異所性胃粘膜(バレット食道といわれます)です。欧米人の食道癌の殆どがここから発生しますが、日本人では比較的稀な癌の発生母地といえます。
逆流性食道炎
食道癌

 前述の如く手術は体力的にも負担がかかります。リンパ節転移を来たさない程度の早期癌では内視鏡治療が広く行われています。正常扁平上皮がヨードに染まること、食道癌は早期の段階でヨードに染まらなくなることを利用して、一見見逃しそうな早期癌も内視鏡により発見されています。 
食道癌